Una sonrisa bonita es una de las cosas que más atractivas resultan. Varios estudios científicos de The Journal of Psychology sitúan “sonreír” como la principal manera de resultar más atractivo.
Tener pequeños defectos estéticos en los dientes puede hacer que nos resulte incómodo sonreír. Sin embargo, ¡ésto tiene solución!. La odontología estética ha avanzado mucho en los últimos años, y permite a los dentistas especializados realizar toda una serie de mejoras con resultados muy naturales en un tiempo record.
Ahora que nos estamos preparando para dejar de lado la mascarilla, es el momento ideal para poner nuestra sonrisa a punto para el verano de manera rápida y sencilla.
¿Quieres Saber más? Estas son las principales maneras en las que puedes mejorar tu sonrisa en una sola sesión.
Eliminar las manchas
El esmalte dental puede mancharse por muchos motivos; incluyendo ciertas comidas, bebidas y medicamentos. Una higiene bucal insuficiente también puede influir en la aparición de manchas. En otros casos, la causa es simplemente genética o se debe a alguna enfermedad.
Las manchas pueden ser de tres tipos : superficiales, depósitos blandos (como el sarro), o intrínsecas.
El tratamiento indicado para cada tipo de mancha es diferente, y puede ir desde una simple limpieza a la adhesión de carillas. Sin embargo, todos estos tratamientos puede realizarse en una sola sesión.

Conseguir unos dientes más blancos
Tanto si tus dientes están amarillos por el consumo excesivo de té o café, como si simplemente estás buscando darles un tono más claro, es posible realizar un blanqueamiento profesional en consulta y obtener resultados visibles en tan sólo una sesión. A diferencia de remedios caseros, pastas de dientes blanqueadoras o productos de farmacia, los tratamientos de blanqueamiento en clínica obtienen resutlados de manera más rápida y fiable.
En Alonso estética dental contamos con la tecnología Zoom de Phillips, con la que se puede llegar a aclarar hasta 4 tonos en una sola sesión de manera no invasiva.

Reponer una pieza perdida
Perder una pieza dental puede resultar no sólo doloroso, sino también incómodo.
La implantología ha avanzado enormemente y los procesos se han simplificado de manera que los especialistas pueden realizar la colocación de implante y corona en una sola sesión. Esto es lo que se conoce como implantes de carga inmediata.

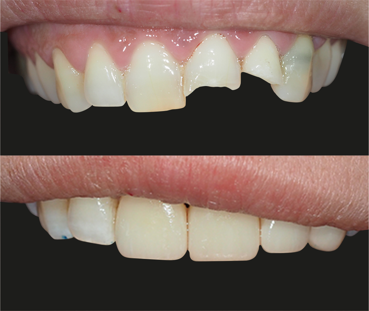
Arreglar un diente roto
Muchas personas no son conscientes de las posibles consecuencias de un diente astillado o fracturado. Una pieza dental dañada puede salvarse y restaurarse para que recupere o incluso mejore su aspecto original, sin embargo al dejarse sin tratar la fractura puede empeorar y llegar a afectar al nervio.
Dependiendo del grado de la fractura, tu dentista te recomendará la mejor técnica a seguir para restaurarlo, y que puede ir desde el contorneado, la adhesión o las carillas de porcelana.
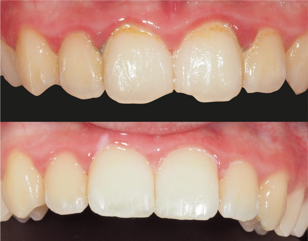
Alargar la sonrisa
Una sonrisa con demasiada encía visible puede no resultar demasiado atractiva. Sin embargo, ¡esto se puede resolver!
Tu dentista puede realizar un contorneado de encías o una frenectomía (recorte de el “frenillo”) para mostrar toda la longitud de los dientes, mejorando así el aspecto de la sonrisa. Hoy en día ésto se puede realizar con láser lo que favorece la cicatrización y la recuperación. Esto significa que lo podemos hacer más rápido, con menos molestias, y menos probabilidad de complicaciones.

Corregir malposiciones
Al considerar corregir el aspecto de dientes torcidos tendemos a pensar siempre en la ortodoncia. Sin embargo, en muchas ocasiones existen alternativas más rápidas y con resultados igualmente atractivos.
Si los defectos de alineación y posición de los dientes son leves, su aspecto se puede corregir a través de tratamientos estéticos realizables en una sola sesión, como la adhesión dental, las carillas de porcelana y las coronas.
Como ves, existen una gran variedad de opciones para mejorar tu sonrisa de manera rápida y sencilla. Es importante ,sin embargo, recordar que la odontología estética sigue siendo un tratamiento médico y que el diagnóstico y plan de tratamiento más adecuados dependen de cada caso.
Si estás pensando en redibujar tu sonrisa de cara al verano, a algún acontecimiento importante, o simplemente por que sí, ¡pide tu cita ahora!. Nuestro equipo médico te atenderá sin compromiso y te recomendará la mejor opción para tu caso.
¡Te estamos esperando!
